Bioeficacia del aceite esencial de laurel (Laurus nobilis L.) sobre la inflamación inducida por lipopolisacáridos en codornices japonesas
Resumen
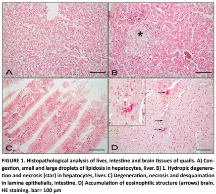
El uso potencial de plantas naturales y aceites esenciales como aditivos alimentarios en la avicultura es un área de investigación popular. En el estudio presentado, se investigaron los efectos del aceite esencial de laurel en el crecimiento y el rendimiento de conversión alimenticia, las características de la carcasa de sacrificio, el índice de estrés oxidativo y los parámetros histopatológicos en codornices japonesas en el modelo de inflamación inducida por LPS. Los grupos de estudio se establecieron como Control (C), grupo de aceite esencial de laurel (LEO), grupo de lipopolisacárido (LPS), grupo de aceite esencial de laurel junto con lipopolisacárido (LEO + LPS). Los pesos vivos en los días 19, 26 y 33 fueron mayores en el grupo LEO + LPS y en el grupo LEO en el día 36. La utilización del alimento fue la peor en el grupo LPS y la mejor en el grupo LEO. El rendimiento de la carcasa no eviscerada fue menor en el grupo LPS en comparación con el control, y el peso de la molleja fue mayor en los grupos LEO, LEO + LPS y LPS. El valor de OSI se observó como más alto en el grupo LPS y el más bajo en el grupo LEO. Además, el valor de OSI en el grupo LEO se redujo de manera importante en comparación con el grupo LEO + LPS. Los valores de OSI del hígado no mostraron ninguna diferencia significativa en todos los grupos. Histopatológicamente, no se observó ninguna diferencia significativa en términos de hígado graso, congestión, degeneración, necrosis e infiltración celular. La adición de laurel aumentó la degeneración, la necrosis y la descamación y la infiltración celular en la lámina epitelial en el intestino. En los intestinos, la infiltración celular aumentó significativamente en el grupo LPS en comparación con el grupo de control. Además, se detectaron acumulaciones eosinofílicas en el cerebro en el grupo LPS. Como resultado, se determinó que el aceite esencial de laurel mejoró el peso vivo y la tasa de conversión alimenticia, hizo una contribución significativa para equilibrar la relación de capacidad oxidante-antioxidante y mostró una bioactividad significativa, especialmente en términos de convertir el efecto negativo de LPS en positivo.
Descargas
Citas
Kazak F, Çimrin T, Alaşahan S. Effects of Ground Fennel Seed Supplementation to diet on Some Blood and Liver Parameters in Quails. J. Agric. Sci. [Internet]. 2020; 4(4):1037-1050. doi: https://doi.org/pgg8 DOI: https://doi.org/10.46291/ISPECJASvol4iss4pp1035-1050
Özcan C, Çimrin T, Yakar Y, Alaşahan S. The Effects of Dietary Olive Cake Meal on Fattening Performance, Carcass and Slaughter Traits in Japanese Quails (Coturnix coturnix japonica). TURJAF. [Internet]. 2021; 9(6):1030–1036. doi: https://doi.org/pgg9 DOI: https://doi.org/10.24925/turjaf.v9i6.1030-1036.4112
Adaszynska-Skwirzynska M, Szczerbinska D. The effect of lavender (Lavandula angustifolia) essential oil as a drinking water supplement on the production performance, blood biochemical parameters, and ileal microflora in broiler chickens. Poult Sci. [Internet]. 2019; 98(1):358-365. doi: https://doi.org/pghg DOI: https://doi.org/10.3382/ps/pey385
Khattak F, Ronchi A, Castelli P, Sparks N. Effects of natural blend of essential oil on growth performance, blood biochemistry, cecal morphology, and carcass quality of broiler chickens. Poult. Sci. [Internet]. 2014; 93(1):132-137. doi: https://doi.org/pghh DOI: https://doi.org/10.3382/ps.2013-03387
Alçiçek A, Bozkurt M, Çabuk M. The effect of a mixture of herbal essential oils, an organic acid or a probiotic on broiler performance. S. Afr. J. Anim. Sci. [Internet]. 2004 [cited 12 Nov. 2024]; 34(4):217-222. https://goo.su/RHeKz
Turk A, Ahn JH, Jo YH, Song JY, Khalife HK, Gali-Muhtasib H, Kim Y, Hwang BY, Lee MK. NF-κB inhibitory sesquiterpene lactones from Lebanese Laurus nobilis. Phytochem. Lett. [Internet]. 2019; 30:120-123. doi: https://doi.org/pghj DOI: https://doi.org/10.1016/j.phytol.2019.02.003
Tural S, Turhan S. Antimicrobial and Antioxidant Properties Of Thyme (Thymus vulgaris L.), Rosemary (Rosmarinus officinalis L.) and Laurel (Lauris nobilis L.) Essential Oils and Their Mixtures. GIDA J. Food. [Internet]. 2017; 42(5):588-596. doi: https://doi.org/pghk DOI: https://doi.org/10.15237/gida.GD17030
Küçükyilmaz K, Çatli A, Çinar M. The Effect of Dietary Essential Oil Mixture Supplementation on the Broiler Performance, Carcass Yield and Some Internal Organ Weight. Kafkas Univ. Vet. Fak. Derg. [Internet]. 2012; 18(2):291-296. doi: https://doi.org/pghq
Bulbul T, Ozdemir V, Bulbul A. Use of sage (Salvia triloba L.) ve laurel (Laurus nobilis L.) oils in quail diets. Eurasian J. Vet. Sci. [Internet]. 2015; 31(2):95-101. doi: https://doi.org/pghs DOI: https://doi.org/10.15312/EurasianJVetSci.2015210080
Tucureanu MM, Rebleanu D, Constantinescu CA, Deleanu M, Voicu G, Butoi E, Calin M, Manduteanu I. Lipopolysaccharide induced inflammation in monocytes/ macrophages is blocked by liposomal delivery of Gi- protein inhibitor. Int. J. Nanomedicine. [Internet]. 2017; 2018(13):63-76. doi: https://doi.org/gcs3gq DOI: https://doi.org/10.2147/IJN.S150918
Korver DR, Klasing KC. Dietary fish oil alters specific and inflammatory immune responses in chicks. J. Nutrition. [Internet]. 1997; 127(10):2039–2046. doi: https://doi.org/pgk7 DOI: https://doi.org/10.1093/jn/127.10.2039
Yang X, Guo Y, He X, Yuan J, Yang Y, Wang Z. Growth performance and immune responses in chickens after challenge with lipopolysaccharide and modulation by dietary different oils. Animal. [Internet]. 2008; 2(2):216-223. doi: https://doi.org/cqhjwq DOI: https://doi.org/10.1017/S1751731107001188
Erel O. A novel automated direct measurement method for total antioxidant capacity using a new generation, more stable ABTS radical cation. Clin. Biochem. [Internet]. 2004; 37(4):277-285. doi: https://doi.org/frb5dh DOI: https://doi.org/10.1016/j.clinbiochem.2003.11.015
Luna LG. Manual of Histologic Staining Methods of the Armed Forces Institute of Pathology. New York, USA: McGraw-Hill Book Company; 1968.
Lin CW, Huang TW, Peng YJ, Lin YY, Mersmann HJ, Ding ST. A novel chicken model of fatty liver disease induced by high cholesterol and low choline diets. Poultry Sci. [Internet]. 2020; 100(3):100869. doi: https://doi.org/gtdt4t DOI: https://doi.org/10.1016/j.psj.2020.11.046
Timbermont L, Lanckriet A, Dewulf J, Nollet N, Schwarzer K, Haesebrouck F, Ducatelle R, Immerseel FV. Control of Clostridium perfringens-induced necrotic enteritis in broilers by target-released butyric acid, fatty acids and essential oils. Avian Pathol. [Internet]. 2010; 39(2):117-121. doi: https://doi.org/fmd25p DOI: https://doi.org/10.1080/03079451003610586
Trott KA, Giannitti F, Rimoldi G, Hill A, Woods L, Barr B, Anderson M, Mete A. Fatty Liver Hemorrhagic Syndrome in the Backyard Chicken: A retrospective histopathologic case series. Vet. Pathol. [Internet]. 2014; 51(4):787-795. doi: https://doi.org/gtdt48 DOI: https://doi.org/10.1177/0300985813503569
Kanat O, Ortatatli M. Pathological and Microbiological Investigations on Alimentary System Lesions of Dogs: Oral, Oesophagus and Stomach. J. Anim. Vet. Adv. [Internet]. 2011 [Nov, 12, 2024]; 10(22):2892-2901. Available in: https://goo.su/zjZjIzp
Al-Rubaee MAM. Effect of Bay Laurel (Laurus nobilis L.) Leaf Powder Dietary Supplementation on Dressing Percent, Carcass Traits, Carcass Cuts and Some Internal Organs of Quail. Ind. J. Sci. Technol. [Internet]. 2018; 11(37):1-6. doi: https://doi.org/pgmc DOI: https://doi.org/10.17485/ijst/2018/v11i37/130988
Salim IH, El-Azayem EHA, Bassiouni HA. Effect of Dietary Supplementation of Laurus Nobilis Leaves Meal on Growth Performance, Carcass Traits and Blood Antioxidant Status of Growing Nzw Rabbits. Egypt. Poult. Sci. J. [Internet]. 2021; 41(3):549-563. doi: https://doi.org/pgmf DOI: https://doi.org/10.21608/epsj.2021.195784
Matsuda H, Shimoda H, Ninomiya K, Yoshikawa M. Inhibition mechanism of costunolide, a sesquiterpene lactone isolated from Laurus nobilis, on blood-ethanol elevation in rats: Involvement of inhibition of gastric emptying and increase in gastric juice secretion. Alcohol. [Internet]. 2002; 37(2):121−127. doi: https://doi.org/crstcr DOI: https://doi.org/10.1093/alcalc/37.2.121
Fdam EMA, Nafia HH, Hussein FM. Effect of Supplementation crushed Melissa officinalis and Laurus nobilis leaves and artificial antioxidant to broiler diets on productive characteristics of broiler. Anbar J. Vet. Sci. [Internet]. 2016[cited 22 Oct 2024]; 9(1):31-40. Available in https://goo.su/U6ctk5
Hamody SJ, Bandr LK, Qassim AA. Effect of adding different level of Bay laurel (Laurus nobilis L.) powder to diet on productive performance and some physiological traits for female Quail. IOP Conf. Ser.: Earth Environ. Sci. [Internet]. 2021; 761:012104. doi: https://doi.org/gj8xm9 DOI: https://doi.org/10.1088/1755-1315/761/1/012104
Çabuk M, Bozkurt M, Alçiçek A, Akbaş Y, Küçükyılmaz K. Effect of a herbal essential oil mixture on growth and internal organ weight of broilers from young and old breeder flocks. S. Afr. J. Anim. Sci. [Internet]. 2006; 36(2):135-141. doi: https://doi.org/dz4vx3 DOI: https://doi.org/10.4314/sajas.v36i2.3996
Namdeo S, Baghel R, Nayak S, Khare A, Pal RP, Chaurasiya A, Thakur S, Reddy B. Essential oils: an potential substitute to antibiotics growth promoter in broiler diet. J. Entomol. Zool. Stud. [Internet]. 2020 [cited 02 Nov. 2024]; 8(4):1643-1649. Available in: https://goo.su/Rr8A
Gwaad RA, Gwaad RA. Effect of aqueous extract of Laurus nobilis L. leafs on some physiological parameters and testis tissue in male white rabbit Lepus articus. J. Kerbala Agrocul. Sci. [Internet]. 2017; 4(5):31−41. doi: https://doi.org/pgmq DOI: https://doi.org/10.59658/jkas.v4i5.725
Pashtetsky V, Ostapchuk PS, Ilyazov RG, Zubochenko DV, Kuevda T. Use of antioxidants in poultry farming (review). IOP Conf. Ser.: Earth Environ. Sci. 2019; 341:012042. doi: https://doi.org/gpjwmb DOI: https://doi.org/10.1088/1755-1315/341/1/012042
İşgör MM, Küçükgül A, Alaşahan S. Antioxidant and anti–inflammatory activities of Gallic acid in Japanese quails induced by oxidative stress. Rev. Cient. FCV-LUZ. [Internet]. 2023; 33(2):e33258. doi: https://doi.org/pgmr DOI: https://doi.org/10.52973/rcfcv-e33258
Küçükgül A, İşgör MM, Önel SE. Investigation of the Bioactivity of Escin in Hydrogen Peroxide-Induced Oxidative Stress. J. Hellenic Vet. Med. Soc. [Internet]. 2023; 74(2):5821–5828. doi: https://doi.org/pgms DOI: https://doi.org/10.12681/jhvms.30408
D’Alessandro AG, Desantis S, Fracchiolla G, Porrelli R, Dibenedetto RS, Di Luca A, Martemucci G. Response of laying hens fed diet supplemented with a mixture of olive, laurel, and rosemary leaf powders: Metabolic profile, oxidative status, intestinal histomorphology, and egg quality. Res. Vet. Sci. [Internet]. 2024; 174:105294. doi: https://doi.org/pgmt DOI: https://doi.org/10.1016/j.rvsc.2024.105294
Bülbül A, Evcimen M, SevimLi S, Ulutaş E, Bülbül T. Use of sage Salvia triloba L and laurel Laurus nobilis L oils in quail diets II The effect on the oxidative status of serum and breast meat and on some serum biochemical parameters. Eurasian J. Vet. Sci. [Internet]. 2016; 32(3):167-173. doi: https://doi.org/pgmv DOI: https://doi.org/10.15312/EurasianJVetSci.2016318395
Karaalp M, Elmastaş M, Genc N, Sezer M, Yavuz M, Ozkan M. Bay Laurel (Laurus nobilis L.) in Japanese Quails Feeding 1. Performance and Egg Quality Parameters. J. Anim. Vet. Adv. [Internet]. 2011; 10(14):1883-1889. doi: https://doi.org/bwjn9r DOI: https://doi.org/10.3923/javaa.2011.1883.1889
Hermier D. Lipoprotein metabolism and fattening in poultry. J. Nutr. [Internet]. 1997; 127(5):805S–808S. doi: https://doi.org/gq6xsq DOI: https://doi.org/10.1093/jn/127.5.805S
Pu S, Usuda K, Nagaoka K, Gore A, Crews D, Watanabe G. The relation between liver damage and reproduction in female Japanese quail (Coturnix japonica) exposed to high ambient temperature. Poult. Sci. [Internet]. 2020; 99(9):4586-4597. doi: https://doi.org/pgmx DOI: https://doi.org/10.1016/j.psj.2020.05.025
Spurlock ME, Savage JE. Effect of Dietary Protein and Selected Antioxidants on Fatty Liver Hemorrhagic Syndrome Induced in Japanese Quail. Poultry Sci. [Internet]. 1993; 72(11):2095-2105. doi: https://doi.org/pgm2 DOI: https://doi.org/10.3382/ps.0722095
Malik K, Lone KP, Farooq A, Ullah A, Andleeb S, Talpur MA, Rashid N, Choudhary KN, Awan K. Rapeseed meal feeding effects on total proteins and lipids of Japanese Quail. Afr. J. Microbiol. Res. [Internet]. 2012; 6(27):5582- 5586. doi: https://doi.org/pgm3 DOI: https://doi.org/10.5897/AJMR11.1032
Jacobsen ML, Jaspers VLB, Ciesielski TM, Jenssen BM, Loseth ME, Briels N, Eulaers I, Leifsson PS, Riget FF, Gomez-Ramirez P, Sonne C. Japanese quail (Coturnix japonica) liver and thyroid gland histopathology as a result of in ovo exposure to the flame retardants tris(1,3-dichloro-2-propyl) phosphate and Dechlorane Plus. J. Toxicol Environ. Health, Part A. [Internet]. 2017; 80(9):525-531. doi: https://doi.org/pgm4 DOI: https://doi.org/10.1080/15287394.2017.1336414
Gesek M, Welenc J, Tylicka Z, Otrocka-Domagała I, Pazdzior K, Rotkiewicz A. Pathomorphological changes in the alimentary system of Japanese quails naturally infected with Eimeria tsunodai. J. Vet. Res. [Internet]. 2014; 58:41-45. doi: https://doi.org/pgm5 DOI: https://doi.org/10.2478/bvip-2014-0007
Monte GLS, Cavalcante DG, Oliveira JBS, Lima EF. Pathological Alterations in Carcasses and Viscera of Japanese Quail (Coturnix japonica -Temminck & Schlegel, 1849) of Commercial Breeding. Acta Vet. Bras. [Internet]. 2015; 9(3):205-211. doi: https://doi.org/pgm6 DOI: https://doi.org/10.21708/avb.2015.9.3.5321
















